Preclinical Research

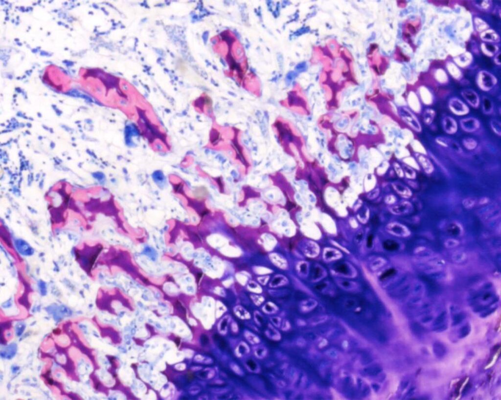
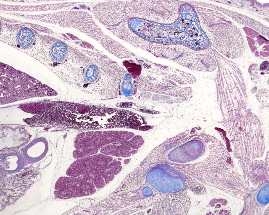
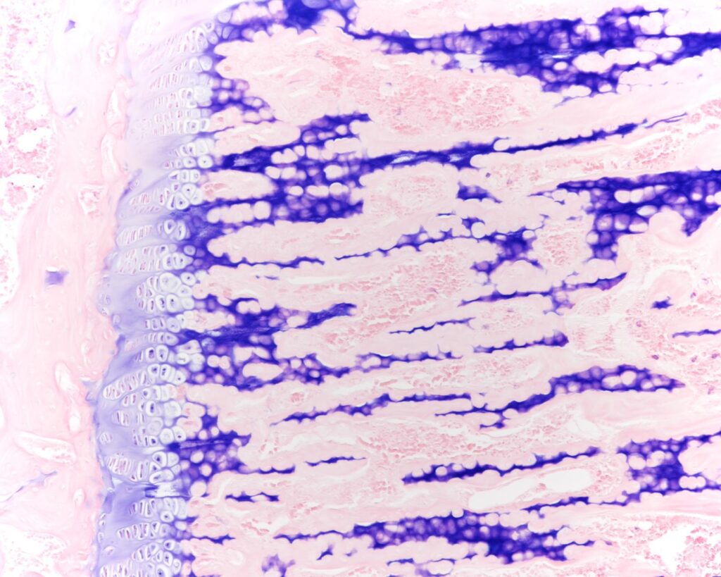
Pharmaceutical, biotechnology and medical device companies look to Biograding Solutions Pharmaceutical, biotechnology and medical device companies look to Biograding Solutions for a complete range of customised programs in bone, cartilage, spine, inflammation and pain therapeutic areas.

We offer our broad study experience and direct knowledge of study requirements, risk management and best practice implementation.

Additionally, we provide effective study design and management services, multi-service integration, and an efficient process that reduces delays and gives clients confidence and peace of mind.

By combining the Biograding Solutions methodology with therapeutic expertise, sponsors can choose our services with confidence.

0 +
Customers Around
The World
0 +
Countries Served
0 +
Due Diligence
0
Preclinical Histology Slides Performed

Get In Touch With Us

Thank You!!

We will get back to you shortly.